Des images de haute précision
Le scanner fournit des images 3D des structures osseuses des animaux avec une précision d’ordre submillimétrique, ce qui permet d’améliorer le diagnostic et la planification du traitement.
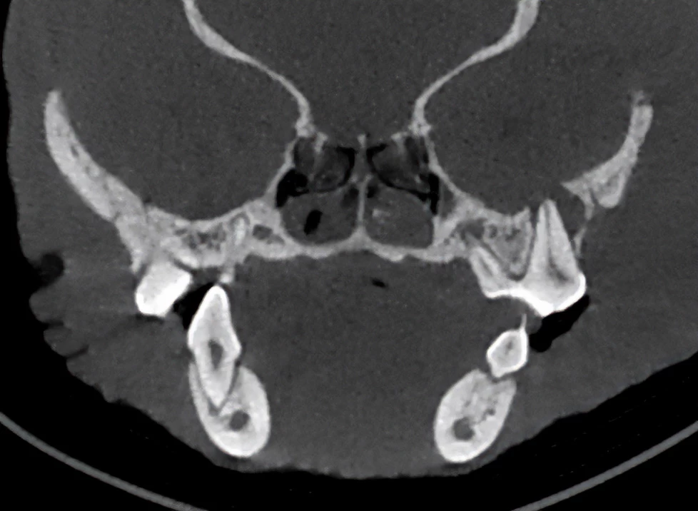
Des images détaillées
Les couches fines et nettes qu’il est possible d’obtenir au moyen de la CBCT sont plus précises que les radiographies 2D classiques.
Réduction de la durée d’anesthésie
Grâce à l’acquisition rapide des images - moins d’une minute - le temps que l’animal passe sous anesthésie est réduit au minimum.
Polyvalence
Convient aux animaux de toutes tailles, et en particulier aux espèces brachycéphales.
Compact et mobile
Ce scanner, facile à déplacer, peut être utilisé de manière flexible dans différentes pièces et convient également en présence d’espaces restreints.
Une communication efficace
Les images en 3D facilitent la visualisation de l’état et des options pour le propriétaires de l’animal.

2D image

CBCT image
Une excellente qualité d‘image
Le scanner Planmed Verity ® VET fournit des images 3D très précises de l’anatomie de l’animal, avec une résolution d’ordre submillimétrique. Ce scanner CBCT a été développé pour détecter les pathologies et les fractures même les plus petites dans les structures osseuses de l’animal. Au moyen du scanner CBCT Planmed Verity VET il est possible d’obtenir des images 3D précises des dents, du crâne et des extrémités de l’animal en vue du diagnostic et de la planification du traitement. Bien que les appareils de radiographie numérique et les échographes soient utiles dans le traitement des patients, ces modalités d’imagerie présentent des limitations fondamentales par rapport à l’imagerie 3D, car elles fournissent des projections bidimensionnelles de l’anatomie tridimensionnelle.





Imagerie et diagnostic en toute simplicité
Le scanner Planmed Verity VET est équipé d’une interface utilisateur graphique facile à utiliser et est livré avec une station de travail spéciale sur laquelle les images acquises peuvent être visualisées de tous les côtés dans le logiciel d’imagerie vétérinaire Planmeca Romexis ®.
La table de positionnement mobile du scanner permet l’acquisition précise, rapide et sans effort d’images des dents, du crâne et des extrémités de l’animal.

| Tension anodique | 80 – 96 kV |
| Courant anodique | 1 – 12 mA |
| Temps de balayage | 18 – 35 secondes |
| Champ de vision balayage unique | 16 x 13 cm |
| Champ de vision « stitching » | 16 x 20 cm |
| Résolution | 0,2 mm |
| Alimentation électrique | 100-240 V (monophasé), 10-16 A (prise standard) |
| Poids | 350 kg (770 lbs) |








